部門
放射線診断治療センター
各種疾患の画像診断を行うセンター
CT・MRI・レントゲンなど
疾患の早期発見・早期治療につなげます
疾患の早期発見・早期治療につなげます
高性能な画像診断装置で検査時間の短縮
放射線診断治療センターは、マルチスライスCT装置2台、MRI装置、血管撮影装置など高性能な画像診断装置を用いて、各種疾患の画像診断を行なっております。女性の方が特に注目されている、乳がんの正確な診断には欠かすことができないマンモグラフィ撮影も行なっています。また一般撮影装置やX線テレビ装置のデジタル化により、患者さんへの被ばく低減、検査時間の短縮にも努めています。
CT、MRIなどの画像を、消化器や脳神経、循環器など各専門の医師に加え、更に画像診断を専門とする常勤の放射線科専門医が見ることによって、専門領域以外の所見を見つけることができ、早期発見、早期治療につなげることができます。
放射線診断治療センターは、医師1名、男性放射線技師12名、女性放射線技師2名、事務員1名で構成されています。
CT、MRIなどの画像を、消化器や脳神経、循環器など各専門の医師に加え、更に画像診断を専門とする常勤の放射線科専門医が見ることによって、専門領域以外の所見を見つけることができ、早期発見、早期治療につなげることができます。
放射線診断治療センターは、医師1名、男性放射線技師12名、女性放射線技師2名、事務員1名で構成されています。

〈放射線診断治療センター検査種別〉
レントゲン撮影(一般撮影)

外来レントゲン撮影装置
コンピュータで画像処理する装置を使用しており、より少ないX線の量で検査を受けることが出来ます。画像処理の時間も大幅に短縮され、検査時間が短く楽に、安心して検査を受けていただけます。
主に全身の骨や胸部、腹部などの撮影を行います。体勢を変えて撮影を行なう際には放射線技師が優しく声をかけて撮影を行なうので安心です。
主に全身の骨や胸部、腹部などの撮影を行います。体勢を変えて撮影を行なう際には放射線技師が優しく声をかけて撮影を行なうので安心です。
救急処置室でそのままレントゲン
全国でも稀です。
救急処置室は放射線を防護した安心安全な環境です。救急車で運ばれてきた患者さんの処置と並行してレントゲン撮影が可能であるため、診断・治療が非常に早く行われます。
救急処置室は放射線を防護した安心安全な環境です。救急車で運ばれてきた患者さんの処置と並行してレントゲン撮影が可能であるため、診断・治療が非常に早く行われます。
-
救急処置室・レントゲン撮影装置 -
手の骨のX線写真
マンモグラフィ(乳房専用のX線撮影装置)
従来は、フィルム(アナログ)が主流でしたが、デジタル画像として撮影、診断ができるようになりました。
触診ではわかりにくい腫瘍や石灰化、しこりを画像として捉え、乳がんの早期発見に欠かすことのできない画像診断の1つです。
当院では乳腺・内分泌外科を専門とした乳腺専門医によって画像のダブルチェックを行なっており、より高い水準での診断を可能としております。
触診ではわかりにくい腫瘍や石灰化、しこりを画像として捉え、乳がんの早期発見に欠かすことのできない画像診断の1つです。
当院では乳腺・内分泌外科を専門とした乳腺専門医によって画像のダブルチェックを行なっており、より高い水準での診断を可能としております。
乳房撮影の際は女性技師のみの徹底対応
乳がん検診についてはこちら
-
乳房撮影装置 -

マルチスライスCT
レントゲン写真で分からない、体の中の構造、出血や骨折の状態などがよく分かる検査です。
短時間での撮影が可能な80列CT2台で検査を行なっています。最新の80列CTでは高速撮影により、常に動いている心臓の撮影も可能です。
また、短時間撮影により、被曝の低減や息止めの時間短縮など、患者さんに負担の少ない検査が可能です。
短時間での撮影が可能な80列CT2台で検査を行なっています。最新の80列CTでは高速撮影により、常に動いている心臓の撮影も可能です。
また、短時間撮影により、被曝の低減や息止めの時間短縮など、患者さんに負担の少ない検査が可能です。
最新80列CT2台導入
最新の機器と放射線技師の患者さんに寄り添う姿勢が、安心安全を実現しています。また、当院では早期発見、早期治療をめざし、画像の処理スピードと画質の向上をさせるためCT装置は高性能の機器を使用しています。検査の待ち時間短縮も期待できます。
特長① 高画質で短時間撮影が可能です。
きれいな画像が、さらに短い時間で撮影が可能になります。これにより、短い息止め時間で検査を行うことが可能になります。
特長② 少ない被ばくで検査が行えます。
最先端の技術が搭載されているこの装置では、最大で75%の被ばく低減で検査をすることができ、安心して検査を受けていただけます。
特長③ 安全な検査環境を確保します。
CT装置の開口径は78cmと従来に比べ大幅に広くなり、快適に検査を受けていただけます。
患者さんが寝る寝台も左右にスライドするため、無理な体勢をすることなく、安心安全な検査を実現します。
CT検査についてはこちら
患者さんが寝る寝台も左右にスライドするため、無理な体勢をすることなく、安心安全な検査を実現します。
CT検査についてはこちら
-
胸腹部の3D画像 -
80列CT装置(A棟導入完了) -
腹部のCT画像
MRI
磁石を利用して人体の様々な断面を撮像することができる検査です。CTでは分かりにくい筋肉や、じん帯などがよく見えます。
当院のMRI装置には静音機構が搭載され、従来の装置より検査中は静かで、患者さんはリラックスしながら検査を受けることができます。
当院のMRI装置には静音機構が搭載され、従来の装置より検査中は静かで、患者さんはリラックスしながら検査を受けることができます。
造影剤アレルギーの方に
造影剤という薬剤を使用せずに血管像を得ることができるため、頭部血管のMRA像は造影剤アレルギーの方も検査が可能です。
CTとは異なり、放射線を用いないので被曝の心配もありません。
CTとは異なり、放射線を用いないので被曝の心配もありません。
見つからなかった骨折発見
レントゲンで見つからなかった骨折が、MRIによって見つかったケースが多数あります。なかには入院が必要な程、重症であった例もあります。
最新の設備だからこそ、実現を可能にします。
最新の設備だからこそ、実現を可能にします。
動脈瘤が人間ドックで
-
頚部のMRI像 -
MRI装置 -
頭部血管のMRA像
骨密度測定
痛くも痒くもない!寝ているだけ!!
当院では最新の機器を導入し、骨折するリスクが高いといわれる腰の骨や大腿骨(足の付 け根)での測定を行っています。
検査時間は5分から10分ほど寝ているだけで検査が出来ます。 検査結果は印刷してお渡ししています。
骨密度検査についてはこちら
検査時間は5分から10分ほど寝ているだけで検査が出来ます。 検査結果は印刷してお渡ししています。
骨密度検査についてはこちら
歯科領域撮影
24時間撮影可能
全ての歯を撮影する装置や、一部の歯を詳細に撮影する専門の装置、歯の矯正のための撮影も行なっています。
当院では24時間撮影が可能です。
当院では24時間撮影が可能です。
-
歯科用デジタルパノラマ撮影装置 -
パノラマ像(上下全部の歯や顎の骨が見えます。)
透視検査
通常の消化管造影検査から血管造影検査まで、併用して一度に検査が行える装置を導入しています。消化管など動きのある部位は、高速連続撮影をすることもできます。
検査時間も短くなり、動画のように見ることもできます。
検査時間も短くなり、動画のように見ることもできます。
さくら総合病院のハイスペックな検査!
一般的に透視検査というと胃のバリウム検査等を想像されると思います。当院の最新機器では高精度かつ、患者さんの姿勢を変えずに検査を行うことも可能にしています。
-
透視撮影装置 -
肘から手首の血管像
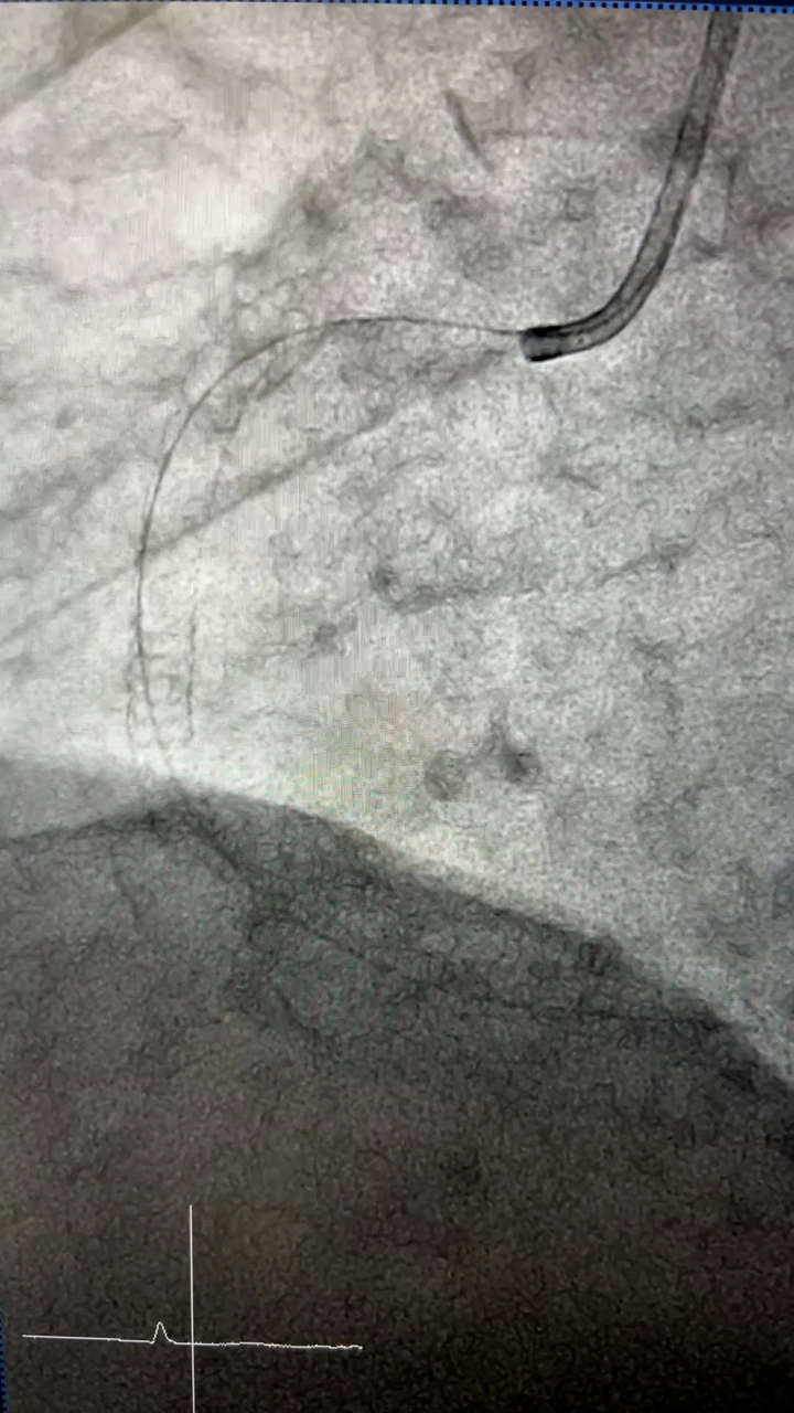
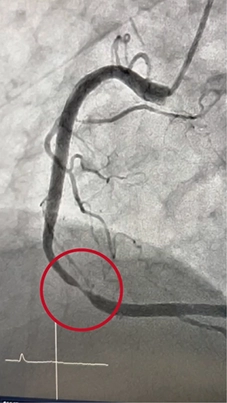
血管造影検査・治療
従来の血管撮影装置よりも、少ないX線量で鮮明な撮影を行なうことができます。心血管検査では一度に広範囲の撮影・診断が可能となり、高精度の検査・治療が行なえます。
また、脳血管検査では脳梗塞の原因となっている血栓の吸引、出血している血管の特定も行なうことができます。
また、脳血管検査では脳梗塞の原因となっている血栓の吸引、出血している血管の特定も行なうことができます。
カテーテル検査
検査にはカテーテルという細い管を用いて、血管内に造影剤や薬剤を直接注入することで、狭窄部位や腫瘍などの検索、または治療を行ないます。
心臓カテーテル、血管の3次元画像(3D)など多種にわたって検査することができ、原因疾患の特定にもとても有効な検査です。
心臓カテーテル、血管の3次元画像(3D)など多種にわたって検査することができ、原因疾患の特定にもとても有効な検査です。
検査だけではなく治療も
脳動脈瘤による出血、血栓による脳梗塞、腹部外傷による出血などもカテーテルを使い、わずかな傷で治療を行なうことが可能です。
-
血管撮影装置 -
撮影した血管を3D処理した画像
-
頭部の側面の血管像 -
心臓の血管像
放射線診断治療センターの医師によるコラム
よく見られているページ






